top of page
セラミックスによる歯冠修復
セラミックスを用いた歯冠修復は「色調の再現性がよい」、「プラークが沈着しにくい」、「経年的な色の変化がおきにくい」などの利点があります。一方で「比較的割れやすい」などの欠点もありますので、患者様の口腔内環境に合わせて、より強度の高い材料をお勧めする場合もあります。



セラミックスを用いて歯冠修復することを希望された患者様には、歯周病や虫歯、神経の治療の後に、被せ物をどのような「形にするか」、「色調にするか」など十分に相談した上で、患者様の希望を加味して治療を行います。
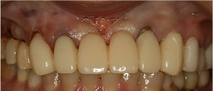
例えば、左上図のように歯茎ライン、歯の大きさ、上下顎の被蓋関係がアンバランスになっている患者様には「歯肉切除」と「仮歯で形態調整」することでバランスの改善を目指します。仮歯で歯や歯茎の形態を整えた後(中上図)に、歯肉が不足している部位には「粘膜移植」を併用することによって、左右の対称性が改善することもあります。左右対称性があり自然な歯茎と歯の形態を獲得することで、スマイル時の口元が美しくなり印象も変わって見えます(右上図)。セラミックスは金属に比べて割れやすい性質もありますので、噛み合わせや噛む力などを考慮した設計が必要になります。
修復する被せ物を周囲の歯の色調と合わせることも重要です。周囲の歯と著しく色が違うと見た目に違和感を感じます。色調をあわせるためにはシェードテイキングを行い、色情報をかぶせものを作成する技工士に正確に伝える必要があります。
上野歯科医院ではセラミックスでの修復を行う際に、一眼レフカメラによる撮影やデジタルシェードテイキング(右下図)を行い、情報精度を上げるよう努めています。


臼歯部(奥歯)ではジルコニアやハイブリッドレジンによる歯冠修復も行っています。左下図のように被覆箇所の形成を行った後に型どりを行い、接着します(右下図)。ジルコニアはセラミックスやハイブリッドレジンに比べて機械的強度が高い(割れにくい)というメリットはありますが、色味や透明感を周囲の歯に合わせるという点では劣ります。当院ではジルコニア、ハイブリッドレジン、セラミックス、メタルボンド、金属冠など、それぞれの治療法の利欠点を説明した上で治療を行うことを心がけています。

bottom of page
